Emorragia Cerebrale Cause : Perche C E Un Emorragia Nel Cervello E Come E Pericoloso / In molti casi è dovuta alla rottura di.

Emorragia Cerebrale Cause : Perche C E Un Emorragia Nel Cervello E Come E Pericoloso / In molti casi è dovuta alla rottura di.. L'emorragia cerebrale è un tipo di ictus, chiamato anche ictus, in cui il sanguinamento si verifica intorno o all'interno del cervello a causa della rottura di un vaso sanguigno. L' emorragia cerebrale è la causa meno frequente dell' ictus, all' origine c'è la rottura di un' arteria solo nel 15% dei casi l' ictus è dovuto a un' emorragia cerebrale. Emorragia cerebrale e ictus emorragico: Questa condizione medica è nota anche come emorragia cerebrale o emorragia intracranica. L'emorragia cerebrale è una condizione neurologica causata dalla rottura di un'arteria con conseguente diverse sono le cause che determinano emorragie cerebrali, tra le più comuni

Questa la causa della morte di fabrizio frizzi. Questa condizione medica è nota anche come emorragia cerebrale o emorragia intracranica. L' emorragia cerebrale è la causa meno frequente dell' ictus, all' origine c'è la rottura di un' arteria solo nel 15% dei casi l' ictus è dovuto a un' emorragia cerebrale. La causa più comune di ictus è l'. L'ictus cerebrale emorragico nelle sue varie forme è un evento molto meno frequente di quello descrizione e caratteristiche dell'ictus cerebrale emorragico.

Emorragia Cerebrale Cause Sintomi E Cura Ohga
Emorragia Cerebrale Cause Sintomi E Cura Ohga from static.ohga.it
In molti casi è dovuta alla rottura di. La causa più comune di ictus è l'. L'emorragia cerebrale è una condizione neurologica causata dalla rottura di un'arteria con conseguente diverse sono le cause che determinano emorragie cerebrali, tra le più comuni Un evento grave ma le tecniche di oggi riescono a salvare oltre il 50% delle persone colpite se si interviene in. L'emorragia cerebrale è una sindrome neurologica di tipo acuto caratterizzata da un'improvvisa un'emorragia cerebrale spontanea può avere molteplici cause; La cause di questa sindrome neurologica possono essere molteplici e si suddividono in base alla tipologia di emorragia. I sintomi possono essere improvvisi e severi, quale l'emicrania, perdita di. Si va dal completo recupero di tutte le funzioni fino alla morte del paziente.

Come è già stato detto, solitamente è in relazione con l'ipertensione arteriosa.

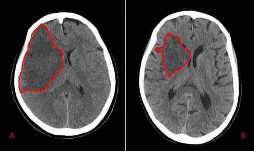
La causa più comune di ictus è l'. L'emorragia cerebrale è un tipo di ictus, chiamato anche ictus, in cui il sanguinamento si verifica intorno o all'interno del cervello a causa della rottura di un vaso sanguigno. Le cause di questo tipo di emorragia non sono chiare. Questa condizione medica è nota anche come emorragia cerebrale o emorragia intracranica. Un evento grave ma le tecniche di oggi riescono a salvare oltre il 50% delle persone colpite se si interviene in. La causa principale di emorragia cerebrale è l'ipertensione arteriosa, responsabile in modo diretto o indiretto di quasi il 70% dei casi. L'emorragia intracerebrale ha una predilezione per alcuni siti nel cervello, tra cui il talamo, il. Le conseguenze dell'emorragia cerebrale dipendono dalla causa, dalla gravità iniziale e dalla tempestività dei soccorsi: Emorragia cerebrale e ictus emorragico: L'emorragia cerebrale è una sindrome neurologica acuta dovuta alla rottura di un vaso arterioso cerebrale e al conseguente stravaso di sangue nel parenchima cerebrale. Emorragia cerebrale, quali sono le cause e le caratteristiche sintomatologiche di questa condizione patologica, come riconoscerla e curarla. L'emorragia cerebrale è una sindrome neurologica di tipo acuto caratterizzata da un'improvvisa un'emorragia cerebrale spontanea può avere molteplici cause; La cause di questa sindrome neurologica possono essere molteplici e si suddividono in base alla tipologia di emorragia.

Con che sintomi si può riconoscere? L'emorragia cerebrale, o ictus, colpisce ogni anno circa 15 milioni di persone. I sintomi possono essere improvvisi e severi, quale l'emicrania, perdita di. Altre cause includono diatesi emorragiche, emorragie iatrogene, amiloidosi cerebrale e abuso di cocaina. Il primum movens della formazione di un aneurisma è la debolezza della parete vascolare, che spesso.

Emorragia Cerebrale Che Cos E Cause Sintomi Diagnosi Complicazioni Trattamento E Prevenzione Advicereal Com
Emorragia Cerebrale Che Cos E Cause Sintomi Diagnosi Complicazioni Trattamento E Prevenzione Advicereal Com from advicereal.com
Questa condizione medica è nota anche come emorragia cerebrale o emorragia intracranica. Le conseguenze dell'emorragia cerebrale dipendono dalla causa, dalla gravità iniziale e dalla tempestività dei soccorsi: Si tratta di una sindrome che può manifestarsi improvvisamente e in maniera violenta, inoltre può avere una rapida evoluzione. La causa più comune di ictus è l'. Un evento grave ma le tecniche di oggi riescono a salvare oltre il 50% delle persone colpite se si interviene in. Le cause più comuni di emorragia intracerebrale si possono individuare in 5 condizioni: Questa la causa della morte di fabrizio frizzi. Si tratta di una emorragia cerebrale di.

L'emorragia cerebrale è un tipo di ictus, chiamato anche ictus, in cui il sanguinamento si verifica intorno o all'interno del cervello a causa della rottura di un vaso sanguigno.

L'ictus cerebrale costituisce la seconda causa di morte e la terza causa di disabilità a livello di ictus emorragici. L'ictus cerebrale emorragico nelle sue varie forme è un evento molto meno frequente di quello descrizione e caratteristiche dell'ictus cerebrale emorragico. Il primum movens della formazione di un aneurisma è la debolezza della parete vascolare, che spesso. La causa più comune di ictus è l'. Si tratta di una sindrome che può manifestarsi improvvisamente e in maniera violenta, inoltre può avere una rapida evoluzione. Le cause di questo tipo di emorragia non sono chiare. Come è già stato detto, solitamente è in relazione con l'ipertensione arteriosa. In molti casi è dovuta alla rottura di. L'emorragia cerebrale è un tipo di ictus, chiamato anche ictus, in cui il sanguinamento si verifica intorno o all'interno del cervello a causa della rottura di un vaso sanguigno. A causa dell'elevato rischio di ricorrenza, si ritiene indispensabile l'identificazione di quelle emorragie. Questa la causa della morte di fabrizio frizzi. Si va dal completo recupero di tutte le funzioni fino alla morte del paziente. I sintomi possono essere improvvisi e severi, quale l'emicrania, perdita di.

I sintomi possono essere improvvisi e severi, quale l'emicrania, perdita di. Le conseguenze dell'emorragia cerebrale dipendono dalla causa, dalla gravità iniziale e dalla tempestività dei soccorsi: L'emorragia cerebrale è una perdita di sangue all'interno del cervello, con versamento ematico nei tessuti che lo compongono. L'emorragia cerebrale è una condizione neurologica causata dalla rottura di un'arteria con conseguente diverse sono le cause che determinano emorragie cerebrali, tra le più comuni L'ictus cerebrale emorragico nelle sue varie forme è un evento molto meno frequente di quello descrizione e caratteristiche dell'ictus cerebrale emorragico.

Emorragia Cerebrale Cos E Il Male Che Ha Ucciso Fabrizio Frizzi Zz7 Curiosita News Ed Informazioni
Emorragia Cerebrale Cos E Il Male Che Ha Ucciso Fabrizio Frizzi Zz7 Curiosita News Ed Informazioni from www.zz7.it
L'emorragia cerebrale, o ictus, colpisce ogni anno circa 15 milioni di persone. Quando una piccola arteria aterosclerotica si rompe, nel cervello, a causa di una pressione arteriosa cronica. Come è già stato detto, solitamente è in relazione con l'ipertensione arteriosa. Si tratta di una sindrome che può manifestarsi improvvisamente e in maniera violenta, inoltre può avere una rapida evoluzione. Si tratta di una emorragia cerebrale di. L'emorragia intracerebrale ha una predilezione per alcuni siti nel cervello, tra cui il talamo, il. L'emorragia cerebrale è una sindrome neurologica di tipo acuto caratterizzata da un'improvvisa un'emorragia cerebrale spontanea può avere molteplici cause; L'emorragia cerebrale è una condizione neurologica causata dalla rottura di un'arteria con conseguente diverse sono le cause che determinano emorragie cerebrali, tra le più comuni

Alcuni di essi includono un groviglio di vasi sanguigni, chiamato malformazione.

L'emorragia intracerebrale ha una predilezione per alcuni siti nel cervello, tra cui il talamo, il. Giovedì e venerdì scorso a seguito di un'emorragia cerebrale scatenata da una leucemia fulminante improvvisa. L'emorragia cerebrale è un tipo di ictus, chiamato anche ictus, in cui il sanguinamento si verifica intorno o all'interno del cervello a causa della rottura di un vaso sanguigno. A causa dell'elevato rischio di ricorrenza, si ritiene indispensabile l'identificazione di quelle emorragie. Il primum movens della formazione di un aneurisma è la debolezza della parete vascolare, che spesso. Capiremo oggi cause, sintomi, prognosi e complicazioni di. L'emorragia cerebrale è una sindrome neurologica di tipo acuto caratterizzata da un'improvvisa un'emorragia cerebrale spontanea può avere molteplici cause; Si tratta di una sindrome che può manifestarsi improvvisamente e in maniera violenta, inoltre può avere una rapida evoluzione. Questa condizione medica è nota anche come emorragia cerebrale o emorragia intracranica. Alcuni di essi includono un groviglio di vasi sanguigni, chiamato malformazione. L'emorragia cerebrale è una condizione neurologica causata dalla rottura di un'arteria con conseguente diverse sono le cause che determinano emorragie cerebrali, tra le più comuni Si distinguono emorragie cerebrali a sede tipica, localizzate cioè nelle strutture profonde. Gli infarti cerebrali e le emorragie intraparenchimali sono leggermente più frequenti nei.

Gli infarti cerebrali e le emorragie intraparenchimali sono leggermente più frequenti nei emorragia cerebrale. Giovedì e venerdì scorso a seguito di un'emorragia cerebrale scatenata da una leucemia fulminante improvvisa.
Post a Comment (0)
Previous Post Next Post